Debido a los avances en el aprendizaje profundo, la calidad de la Inteligencia Artificial (IA) está mejorando rápidamente para la obtención de imágenes mamarias y probablemente desempeñará un papel importante para la mamografía y la tomosíntesis digital de mama en todos los pasos, desde la generación y eliminación de imágenes hasta la predicción de riesgos, la detección de cáncer y, finalmente, selección de terapia y predicción de resultados.
Aunque el diagnóstico asistido por computadora (CAD) se usa ampliamente en la mamografía desde hace dos décadas, los programas CAD convencionales que utilizan indicaciones para indicar posibles cánceres en las mamografías no han llevado a una mejora en la precisión del diagnóstico, que no llegó a pasar del 90 % de precisión. En septiembre de 2016 se publicó en este blog ¿Puede la Inteligencia artificial condicionar el informe de los radiólogos? como un primer avance de lo que estaba viniendo.
Pero debido a los avances en el aprendizaje automático, especialmente con el uso de redes neuronales convolucionales profundas (multicapa), la Inteligencia Artificial ha experimentado una transformación que ha mejorado la calidad de las predicciones de los modelos.
Los algoritmos disponibles son avanzados y se acercan al desempeño de los radiólogos, especialmente para la detección del cáncer y la predicción del riesgo en la mamografía. Sin embargo, y aunque la validación clínica aún es muy escasa, se está avanzando en cómo se debe utilizar el poder del aprendizaje profundo para optimizar la práctica. El aprendizaje automático (ML) se refiere a un sistema que tiene la capacidad de «mejorar» y «aprender» a reconocer los patrones de las características de la enfermedad, como la aparición de cánceres de seno en las mamografías, así como analizar las características de textura circundantes en la obtención de la imagen.
Por esta razón, y como los algoritmos basados en el aprendizaje automático están llegando cada vez más a muchas aplicaciones médicas, los científicos europeos han generado una plataforma novedosa que permite el análisis cuantitativo de imágenes radiológicas. Existe el proyecto QUIBIM Precision, financiado con fondos comunitarios de Europa, que está en desarrollo de una técnica de procesamiento innovadora para imágenes radiológicas para evaluar los cambios en el cuerpo. El proyecto aplica inteligencia artificial y modelos computacionales avanzados para asociar cambios fenotípicos con enfermedades, lesiones o tratamientos farmacológicos, ofreciendo información cuantitativa sobre la naturaleza cualitativa de las imágenes radiológicas.
QUIBIM Precision® (http://h2020778064.quibim.com/) es la primera plataforma en la nube que permite el análisis automatizado de biomarcadores de imágenes con alta sensibilidad y especificidad. Cuenta con certificación médica para respaldar la toma de decisiones y está abierto a médicos de todo el mundo. Además, es un enfoque rentable que minimiza el diagnóstico erróneo debido a errores humanos y la necesidad de un nuevo examen. La plataforma ya ha demostrado un valor agregado en casos sospechosos de cáncer de próstata con el algoritmo de Resonancia Magnética de cáncer de próstata, entre otras patologías.
Puedes ver nuestras dos entrevistas con Angel Alberich, CEO de QUIBIM en YouTube:
Hasta ahora, la plataforma tiene un total de 24 algoritmos y ha analizado más de 5 millones de imágenes con clientes de 22 países. Las aplicaciones incluyen la detección de lesiones cerebrales desmielinizantes en la esclerosis múltiple, cambios en la morfometría cerebral como una indicación de la enfermedad de Alzheimer, lesiones por cáncer, así como osteoporosis y osteoartritis.
¿La Inteligencia Artificial es sólo para el uso de los Radiólogos?
Desde las primeras publicaciones (2010 aproximadamente) sobre soluciones tecnológicas aplicables desde la Inteligencia Artificial a la imagen diagnóstica, apareció una preocupación inicial generalizada de que la IA reemplazará a los radiólogos y ya parece un recuerdo lejano, porque la investigación de la IA se centra principalmente en aumentar la mejora práctica de los radiólogos y, en consecuencia, la atención al paciente. De hecho, las tecnologías de la Inteligencia Artificial en realidad lo que van a hacer es acortar la necesaria experiencia del Radiólogo en cuanto a su habilidad visual y la correlación de casos clínicos que ya han manejado.
Y es más, las herramientas de IA no sólo pueden usarse directamente por los Radiólogos sino por otros médicos como soporte a la decisión clínica, por ejemplo desde la Atención Primaria y otras especialidades, en aquellas pruebas radiológicas que aún no han pasado por la sala de informes de la Unidad de Diagnóstico por Imagen.
Los algoritmos que sirven como herramienta de clasificación (preselección de ciertos tipos de estudios de imágenes y alerta sobre la probabilidad de un hallazgo crítico) siguen siendo un área de interés popular. Por ejemplo, el software de aprendizaje profundo para detectar la hemorragia intracraneal puede acelerar los tiempos de respuesta y reducir la duración de las estadías en el hospital para los pacientes.
Un ejemplo lo tenemos en Medicina Interna (imagen inferior), usando los algoritmos de selección de dispositivos incluidos en los software de visores de los equipos portátiles de Radiografías. Ved qué ejemplos más interesantes para la Detección y priorización de Neumotórax, detección de neumoperitoneo, confirmación de Intubación Endotraqueal, o colocación de sonda Nasogástrica.

Radiómica
La investigación también ha aumentado en la aplicación con radiómica, que es la novedad tecnológica en IA para evaluar el riesgo, así como para monitorear y predecir la respuesta al tratamiento. En un estudio, los investigadores encontraron que un algoritmo de IA puede estimar los gastos futuros de atención médica para un paciente en función del análisis de una radiografía de tórax.
De hecho, lo último en tecnología IA para la imagen radiológica es un algoritmo llamado Redes de Confrontación Generativa (GAN) que es prometedor para una variedad de aplicaciones, incluida la producción de imágenes sintéticas y permitir que los modelos sean entrenados con exámenes normales para detectar anomalías. Según la modalidad, la mamografía y la radiografía, particularmente las radiografías de tórax, siguen siendo técnicas de imagen tributarias de gran acierto en el uso de estas tecnologías, aunque claramente se está investigando la IA para su uso con todas las modalidades del Diagnóstico por Imagen, e incluso la Radioterapia.
Inteligencia Artificial para la obtención de la imagen
La pregunta es: ¿Los algoritmos nuevos van a servir sólo para el proceso diagnóstico? No, también para los procesos de adquisición. Y eso va a cambiar de forma importante el conocimiento de los Radiographers (ayudantes del Radiólogo o también llamados Técnicos de Radiología).
La vanguardia del desarrollo y la validación de protocolos de TC de dosis baja se pueden ‘convertir’ a imágenes de dosis estándar al aumentar sus habilidades en el análisis de imágenes visuales. A diferencia de las técnicas de reconstrucción de imágenes analíticas o iterativas que requieren conocimiento experto para optimizar el rendimiento de la reconstrucción, los métodos basados en el aprendizaje profundo están reformando la reconstrucción de imágenes como un problema de aprendizaje supervisado por el Radiographer basado en datos para encontrar un mapeo entre el sensor (equipamiento) y el dominio del procesamiento de la imagen. Como ejemplo, Zhu et al. Link mostraron que un método basado en el aprendizaje profundo es más robusto al ruido y exhibió una reducción significativa en los artefactos de reconstrucción en comparación con los métodos de reconstrucción convencionales. En otro estudio, Kim et al. Link utilizó el aprendizaje profundo para construir imágenes de resonancia magnética (MR) de alta resolución en un contraste a partir de imágenes de MR altamente muestreadas en otro contraste.
El aprendizaje profundo tiene un enorme potencial para optimizar el registro de imágenes, lo cual es esencial en muchas tareas clínicas como investigar cambios longitudinales o fusión de imágenes. Como ejemplo, Cheng et al. recientemente propuso un modelo basado en el aprendizaje profundo para el registro conjunto de las imágenes de TC y resonancia magnética (MR) (Link)
En otro estudio, Wu et al. demostró que un método basado en el aprendizaje profundo para registrar las imágenes de RM del cerebro superó a todos los métodos de registro de imágenes deformables de última generación. La IA también se ha utilizado para acelerar la notificación de casos de TC adquiridos por lesión aórtica mediante el uso de una red neuronal convolucional de aprendizaje profundo (CNN). En esta investigación, la CNN fue verificada por la PNL de los informes de radiología para determinar la efectividad del uso de IA para la priorización del estudio en el flujo de trabajo de los radiólogos.
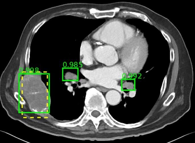
La segmentación automática es una innovación clave de AI en imágenes de oncología con una precisión mejorada de contorneado para órganos en riesgo (OAR) en la planificación de la radioterapia, eliminando la variabilidad interobservador y mejorando la eficiencia del trabajo. Como ejemplo, Tang et al. propuso una herramienta basada en el aprendizaje profundo para proporcionar de forma semiautomática los criterios de evaluación de respuesta en tumores sólidos (RECIST), que actualmente se utiliza como una medida estándar de la extensión del tumor para evaluar el tratamiento de los pacientes. Se demostró que el sistema no se ve afectado por la variabilidad entre lectores al tiempo que demuestra un acuerdo prometedor con el consenso de los RadioOncólogos.