
La enfermedad de Alzheimer es una enfermedad neurodegenerativa progresiva que causa demencia, afecta a millones de personas de edad avanzada y representa un problema cada vez mayor con el envejecimiento de la población. La resonancia magnética aporta ventajas con respecto a otras técnicas, da una imagen de gran calidad que permite valorar la estructura cerebral y es totalmente inocua debido a que no utiliza radiación.
¿Que papel juega la resonancia magnética en el diagnostico precoz de la enfermedad de alzheimer?
La resonancia magnética puede detectar anomalías cerebrales asociadas con el deterioro cognitivo leve (DCL) y puede predecir que pacientes con deterioro cognitivo leve podrían desarrollar la enfermedad de Alzheimer. En las primeras fases de la enfermedad, una resonancia magnética del cerebro puede llegar a ser normal. En etapas posteriores, la resonancia magnética puede mostrar una afectacion de diferentes áreas del cerebro.
Describimos cinco técnicas por resonancia magnética para el diagnostico precoz de la EA:
-
RM estructural
-
ERM – Espectroscopia por resonancia magnética (como complemento de la RM estructural)
-
fMRI – Resonancia magnética funcional (permite estudiar la actividad cerebral en tiempo real y es no invasiva con resultados fiables y reproducibles)
-
ASL – Arterial spin labeling (medición de la irrigación sanguínea del cerebro)
-
DTI – Imágenes por tensor de difusión
RM estructural
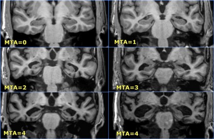
La RM estructural proporciona una valoración, con secuencias 3D volumetricas, del grado de atrofia típica de esta enfermedad y del deterioro pronunciado del hipocampo para establecer un diagnostico probable de la enfermedad de alzheimer. Las imágenes 3D en secuencias volumetricas permiten ver con precisión si la atrofia hipocampal es anómala con respecto a las otras áreas el cerebro lo que posibilita determinar el grado de probabilidad de la EA. también es útil para predecir que personas con trastornos de memoria característicos del DCL (deterioro cognitivo leve) tienen una probabilidad mayor de evolucionar hacia una demencia.
Desde mediados de los años 80 una de las medidas utilizadas para detectar alteración temprana de la enfermedad de alzheimer es la atrofia del lóbulo temporal que lleva asociado una disminución en el volumen del hipocampo y la perdida progresiva del volumen de la corteza cerebral. Posteriormente estas medidas se afinaron a partir del hallazgo neuropatológico de la perdida neuronal en la corteza entorrinal de personas con DCL.
La escala visual de scheltens fue desarrollada para valorar el grado de atrofia del lóbulo temporal, evalua el grado de atrofia en base al análisis visual de tres estructuras – la cisura coridea el asta temporal y el hipocampo – en el plano coronal de la secuencia 3D volumetrica. Esta escala permite distinguir entre pacientes con EA y de edad avanzada.


ERM – Espectroscopia por resonancia magnética
Como complemento a la rm estructural existe la posibilidad de utilizar la ERM que es una técnica no invasiva de estudio neuroquímico del cerebro in vivo, esta realiza una cuantificación relativa de algunos compuestos químicos que tienen un papel relevante en la función cerebral. Varios estudios han demostrado que el metabolito neuronal N-acetilaspartato (marcador de viabilidad neuronal) disminuye,lo que sugiere destrucción neuronal, en todos los hemisferios cerebrales en pacientes afectados por EA y el componente mioinositol (actividad glial y neurodegeneracion) aumenta a nivel del lóbulo temporal y gyrus cingulado. Esta técnica tiene una alta sensibilidad pero poca especificidad diagnostica, comparando controles de pacientes con EA si a la medición de la atrofia hipocampal por RM estructural se le añade la concentración local de NAA (N-acetilaspartato) y mioinositol por ERM aumenta la precisión diagnostica hasta un 95% estos resultados acompañado de una sintomatología clínica de deterioro neurológico importante la ERM orientaría hacia el diagnostico del alzheimer.


Se realizo una observación del comportamiento de estos metabolitos cerebrales en pacientes con EA dando como resultado que el compuesto N-acetilaspartato disminuye en el giro cingulado posterior y ambos hipocampos al mismo tiempo que se produjo un aumento elevado del compuesto Mioinositol en el giro cingulado posterior y la sustancia gris de lóbulo parietal en pacientes con EA. Si bien estos metabolitos podrían usarse como biomarcadores en el diagnostico del alzheimer todavía su utilidad no esta del todo clara. click aqui
fMRI – Resonancia magnética funcional
Los estudios de resonancia magnética funcional en los pacientes con EA han demostrado hipoactivación de las estructuras del lóbulo temporal durante la ejecución de tareas de memoria, mientras que los estudios en personas de edad avanzada con DCL han informado de un aumento o disminución de la activación en el lóbulo temporal dependiendo de la gravedad del deterioro cognitivo y la atrofia estructural subyacente. Además, los recientes hallazgos de resonancia magnética funcional en los pacientes con EA y DCL están comenzando a revelar anomalías funcionales entre el lobulo temporal y regiones posteromediales como la corteza cingulada posterior y precuneal.
Hoy en día, la técnica de resonancia magnética funcional más utilizada para medir los cambios hemodinámicos relacionados con la actividad celular subyacente se basa en la obtención de imágenes del contraste endógeno en la sangre que es oxígeno-dependiente (BOLD). En pocas palabras, la disminución relativa de la cantidad de hemoglobina desoxigenada mejora la señal de resonancia magnética a nivel local en las áreas cerebrales activadas durante una tarea cognitiva en particular. Además de los aumentos observados en la señal BOLD en áreas del cerebro activado, recientemente se ha demostrado que las respuestas BOLD negativas también están relacionados con la actividad neuronal subyacente y tienen su origen en la disminución de la actividad neuronal por debajo de la actividad espontánea en regiones cerebrales desactivadas.
Un estudio reciente tenia como objetivo estudiar la red cerebral para investigar cambios en la conectividad entre diferentes regiones utilizando imágenes de fMRI en estado de reposo y mediante un algoritmo matemático llamado teoría de grafos que permite cuantificar el grado de correlación de la señal BOLD en una muestra de vóxeles de la corteza cerebral. Los autores del estudio han demostrado que mediante el reconocimiento de patrones y el gráfico de la red cerebral usando imagenes de fMRI en reposo pueden ayudar a diagnosticar la EA. click aqui click aqui

Arterial Spin Labeling
El ASL es una técnica de perfusión que puede detectar cambios en la función del cerebro asociados con la EA de manera similar a las obtenidas por un PET. La ASL es potencialmente mas adecuada para la detección y el seguimiento de la enfermedad ya que es una técnica no invasiva que no requiere el uso de radioisotopos ni ningún agente de contraste (el contraste son los propios protones del agua en la sangre) que se inyecte al paciente y se adecua perfectamente a las rutinas de RM convencional. El ASL se propone como alternativa diagnostica al PET que en pacientes con EA y demencia frontotemporal pone de manifiesto los mismos patrones de hipoperfusion que el PET.
Se pudo constatar recientemente que el ASL es capaz de detectar áreas patológicas que se encuentran principalmente en los lóbulos parietales y zonas de la corteza temporal en pacientes con EA. Bajo sospecha de EA esta técnica de perfusión se puede utilizar como complemento de la RM estructural. click aqui.
Una investigación evaluó el potencial de la ASL para el diagnostico de la EA y pudieron constatar que si bien la técnica aun ofrece una calidad suboptima y una cobertura cerebral limitada puede ser capaz de delinear algunas características conocidas de la enfermedad como la hipoperfusion del lóbulo temporal. también destacaron que la ASL tiene un gran futuro para el diagnostico individual de la EA gracias a que no utiliza radiación ni medios de contraste exogenos y permite mediciones repetidas y reproducibles click aqui


DTI – Imagen por Tensor de Difusión
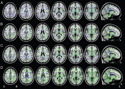
La técnica de DTI mide el movimiento de las moléculas de agua para caracterizar la micro estructura de los tejidos biológicos y detectar anomalías de la sustancia blanca. En la EA el daño de la corteza cerebral causa involución walleriana con menor anisotropía fraccional (AF) a nivel de la sustancia blanca predominantemente temporal respecto a grupos de deterioro cognitivo leve o de envejecimiento normal.
En un estudio realizado recientemente en mayo de 2015, investigadores italianos evaluaron la utilidad de esta técnica en 3 grupos de pacientes con inicio temprano de Alzheimer, con afasia progresiva primaria y con atrofia cortical posterior utilizando una RM de 3T. Gracias a esta técnica pudieron constatar que los 3 grupos muestran un patrón de daño de la sustancia blanca en el cuerpo calloso, el fornix cerebral, las vías anterior y posterior así como atrofia cortical en regiones temporoparietal izquierda y parietal. también destacaron que la técnica DTI tiene el potencial para evaluar la extensa desorganización de la red cerebral en la EA incluso antes de que el déficit cognitivo sea evidente. click aqui click aqui


Otro estudio de 2015 combinando imágenes de DTI y fMRI en reposo hizo hincapié en investigar la conectividad funcional y estructural interhemisférica en 16 pacientes con EA, 16 con DCL y 16 pacientes sanos. El patrón de conectividad interhemisférica se midió mediante un método de conectividad homotópico (vmhc) que permitió demostrar que existen patrones específicos de cambios de conectividad funcional interhemisférica en la EA y DCL, que pueden estar correlacionadas significativamente con los cambios en la integridad de las estructuras en la línea media y de la sustancia blanca. click aqui


La fundación cien ( centro de estudios de enfermedades neurologicas ) en el año 2012 realizo un estudio piloto en el cual quedo demostrado que la resonancia magnética y la automatización de los procesos de cuantificación y análisis de la inteligencia artificial pueden diferenciar entre un paciente con deterioro cognitivo leve (DCL) o algún tipo de demencia permitiendo así el diagnostico precoz. Evaluaron cuatro grupos de pacientes:
- Pacientes cognitivamente sanos (CS),
- Pacientes con deterioro cognitivo leve (tipo amnesico DCLa y DCLm multidominio)
- Pacientes con EA.
La exactitud en diferenciar entre un CS y una EA fue superior al 95% y en el caso de DCL y EA del 90%. También gracias a este estudio se pudo constatar cuales son las técnicas mas eficientes para detectar diferencias significativas entre los distintos grupos evaluados, la ASL (arterial spin labeling) es muy buena para diferenciar CS de DCLa pero no para DCLm de EA al contrario que la espectroscopia. La técnica que obtuvo mejores resultados fue la volumetría aunque también destacan los investigadores que combinando la volumetria con imágenes de tensor de difusión (DTI) se obtienen mejores resultados comparativos.
La resonancia magnética juega un papel fundamental en la enfermedad de alzheimer, ya que permite estudiar la estructura cerebral ( perdida de volumen cerebral y del hipocampo) la perfusión cerebral (función) la conectividad entre si y la actividad cerebral (funcion del cerebro para cada realizar una tarea en concreto). Si bien estas técnicas actualmente están en uso permanente falta todavía una validación mas extensa de cada una de ellas.
Referencias:
- http://blog.fundacioncien.es/index.php/2012/01/la-resonancia-magnetica-facilita-el-diagnostico-precoz-del-alzheimer/
- http://www.elbaulradiologico.com/2011/11/enfermedad-de-alzheimer-diagnostico.html
- http://www.radiologyinfo.org/sp/info.cfm?pg=alzheimers
- http://blog.fundacioncien.es/index.php/2013/10/las-tecnicas-de-neuroimagen-contribuyen-a-la-deteccion-cada-vez-mas-temprana-del-alzheimer/
muy importante la información gracias
Me gustaLe gusta a 1 persona
Gracias por tu comentario Santiago.
Saludos
Me gustaMe gusta
Pues en realidad los estudios para cada patología de pacientes, la Resonancia Magnética es una maravilla, lo más actual y eficaz, ya que allí vemos los vasos y estructuras blandas que en una radiografía convencional no se puede valorar y asimismo es una técnica de diagnóstica no invasiva ya que no se realiza pòr medio de radiación. Mi respeto y admiración a todos los Médicos radiólogos. Licenciados en Imagenología y demás ramas de la Salud.
Me gustaLe gusta a 1 persona
Gracias por tu comentario Bernardo.
La verdad que si la resonancia magnetica es muy util pero no debemos olvidar que todas las otras pruebas que realizamos tambien tienen su utilidad por mas que utilizen radiacion ionizante.
Saludos
Me gustaMe gusta
Reblogueó esto en Jorge Figueroa Apesteguiy comentado:
muy importante que exista un metodo diagnóstico para la enfermedad de alzheimer
Me gustaMe gusta