
Existen herramientas de navegación digital de amplia capacidad como este atlas cerebral que permite navegar on line, gracias al etiquetado de más de 524 estructuras en 353 imágenes de resonancia magnética en los tres puntos de vista diferentes y en 26 diagramas anatómicos.
Este navegador es de Imaios y se puede navegar en modo libre – gratis o en modo de pago. La anatomía correlacionada de cabeza – cara y cuello está dirigida para el uso de profesionales con interés en la neuroanatomía y las imágenes médicas; tiene un uso adecuado para médicos generales y especialistas en neurología, neurocirugía, así como patólogos del habla y terapeutas de la psicomotricidad.
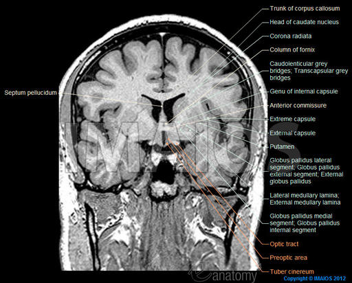
Imágenes cerebrales utilizados para este navegador
Un equipo de Resonancia Magnética realizó cortes de 0,6 mm en individuos sano, y usando ponderación T1 sin inyección de gadolinio para obtener imágenes volumétricas para la navegación 3D, con una matriz de 320/320 píxeles, utilizando una potencia de 1.3 Tesla MRI.

Con una angiografía por Resonancia del polígono de Willis por contraste también se han obtenido imágenes vasculares.
Las imágenes de cada corte se redimensionan y se manejan con Adobe Photoshop, y luego se integran en un módulo creado con Adobe Flash. Para facilitar la descarga de datos, las imágenes se comprimen en formato JPEG, pero la función ‘HQ’ (de pago) del navegador permite al usuario descargar las imágenes en calidad óptima (la matriz de partida sigue siendo 320/320 píxeles).
Por otro lado, las reconstrucciones de imágenes 3D para el cerebro, los ventrículos, el tronco cerebral, el cerebelo, las arterias cerebrales y los senos venosos se crearon a partir de imágenes en cortes por medio de una consola de reconstrucción DICOM.

Formación
Algunas de las reconstrucciones están retocadas mínimamente usando Adobe Photoshop con el fin de mejorar su valor didáctico al quitar ciertos artefactos (por ejemplo, los nervios craneales sólo son visibles en imágenes del tronco del encéfalo).
División de las zonas anatómicas cerebrales
Hay creados varios tipos de perfiles, tanto para los cortes y las imágenes en 3D:
- Lóbulos cerebrales: lóbulo frontal, lóbulo parietal, lóbulo temporal, lóbulo occipital, la ínsula, sistema límbico.
- Lóbulos del cerebelos: Lóbulo anterior del cerebelo, lóbulo posterior del cerebelo, y el lóbulo floculonodular.
- Tronco encefálico: mesencéfalo, protuberancia y bulbo raquídeo.
- Los niveles del sistema nervioso central: telencéfalo, diencéfalo (dividido en el tálamo, hipotálamo, metatálamo, epitálamo y subtálamo), rombencéfalo y la médula espinal.
- Fibras de asociación del telencéfalo: fascículo uncinado, Superior (arqueado) y fascículo longitudinal inferior, fibras caudales y lingual.
- Territorios vasculares arteriales: los territorios superficiales y profundas de la media y anterior arterias cerebrales, territorio de la arteria cerebral posterior, territorios corticales de unión y el territorio de la arteria coroidea anterior profunda, territorio de la arteria comunicante posterior, territorio del superior (SCA), anterior (AICA) y posterior (PICA) arterias cerebelosas, territorio de las ramas de la arteria basilar, territorio de las ramas de la arteria vertebral y la arteria espinal anterior.
Las estructuras del cerebro humano se han clasificado en grupos y subgrupos que se pueden mostrar de forma selectiva en el navegador.
Las estructuras anatómicas están traducidos desde la terminología anatomica en Inglés, francés, español, portugués, checo, alemán, chino y japonés.
Buen dia, se dan los cursos en donde y los costos por favor, gracias.
Me gustaMe gusta
Hola, Juan José. Radiologia Club no es una plataforma de formación, es de divulgación.
Me gustaMe gusta
Existe un atlas similar pero para resonancia de columna vertebral en sus 3 segmentos?
Me gustaMe gusta
como se pueden descargar estos atlas me servirian ya q aun me encuentro en formacion
Me gustaMe gusta
Hola, Nestor. Leyendo el artículo podrás comprender de qué se trata la navegación y el aprendizaje con esas herramientas. Hay links que se pueden clicar.
Saludos
Me gustaMe gusta
Hola buena info muchas gracias por compartir. Sabes de algún apps que me ayude con irm de cabeza y cuello.?
Me gustaMe gusta
ESPETACULAR!!!!!
Me gustaMe gusta