
Existe un ingenioso proyecto, desarrollado en Berlin (Alemania), que bajo el concepto del tratamiento ‘a domicilio’ de trombolisis intravenosa para pacientes con accidente isquémico (Ictus Cerebral) en una Ambulancia se ha incorporado un TAC que permite hacer los estudios en la misma calle donde vive el paciente.
Esta modalidad Asistencial consiste en tratar ese accidente cerebrovascular con un un fármaco trombolítico lo más rápido posible para salvarle la vida y/o reducirle gravedad en repercusiones futuras, porque para que el medicamento haga efecto, es preciso que el tratamiento comience dentro de las 3 a 4 1/2 horas desde que los síntomas empezaron.
En el caso de que el accidente cerebrovascular (ACV) fuera causado por un coágulo sanguíneo, la administración inmediata y dentro de la misma ambulancia, del fármaco trombolítico para disolver el coágulo, le salvará la vida porque la rapidez en todo este proceso diagnóstico – terapéutica en modo urgencia domiciliaria es el objetivo de este Proyecto.

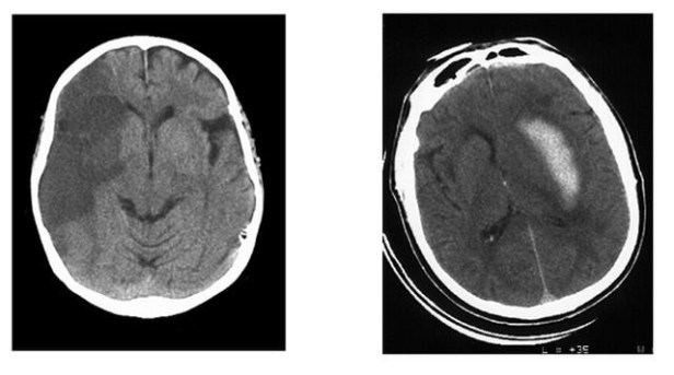
La función del TAC en la Ambulancia consiste en diagnosticar la causa del accidente cerebrovascular:
Si es debido a un coágulo de sangre (accidente cerebrovascular isquémico), tienen una mejor probabilidad de sobrevivir que aquellas que tienen un accidente cerebrovascular si es debido a sangrado en el cerebro (accidente cerebrovascular hemorrágico, debido a la ruptura de un vaso sanguíneo).

Método de actuación
Cuando la Ambulancia STEMO acude al lugar de la llamada de emergencia de aviso del accidente cerebrovascular isquémico, se realiza al paciente:
– Una extracción sanguínea para realizar una analítica de sangre para determinar valores de glucosa en sangre, descartar alteraciones iónicas, conocer la función renal y hepática, detectar alteraciones de la coagulación, identificar marcadores de infección.
– Un estudio de TC cerebral, para clasificar si el ACV es isquémico o hemorrágico.
Se interpretan los datos de análisis de sangre y las imágenes adquiridas por el TC, y compartidos en modo remota. Entonces, si se confirman el accidente cerebrovascular isquémico y se excluyen las contraindicaciones mediante la analítica de sangre, la trombolisis intravenosa se inicia en la ambulancia antes del transporte del hospital. El equipo STEMO transporta a bordo uno de los siete expertos neurólogos, un Técnico Radiólogo y un profesional Paramédico.

Proyecto
La Unidad Movil de Emergencias para Accidente Cerebro Vascular (en inglés Stroke ) se llama STEMO, y está equipada funcionalmente con un escáner CereTom CT enfocado a la neurología, y un sistema portátil de proceso informático de imágenes y comunicaciones (software de telemedicina ) para enviar las imágenes por satélite para el informe radiológico ‘a distancia’. El proveedor alemán MEYTEC es quien ha desarrollado esta innovadora unidad ‘móvil’ de telemedicina.
El CereTom es un TAC portátil de 8 cortes (o slice), pesa 408 kg., y ofrece escaneos de perfusión (con contraste) de alta calidad permite obtener las imágenes en atención preclínica al ictus de una víctima potencial dentro de la primera hora de inicio del ACV. La conectividad por satélite mediante tecnología 3G y 4G permite la comunicación y envío de datos del análisis de sangre, imágenes tomográficas e instrucciones adicionales sobre el paciente, mientras que está siendo transportado al Centro Hospitalario.
Esta Ambulancia – TAC fue idea del Dr. Heinrich Audebert , jefe de neurología y director del proyecto, y sus colegas en la Charité – Universitätsmedizin Berlin, que es uno de los mayores Hospitales Universitarios en Europa.

Resultados
El jueves 23 de abril de 2014, se publicó en JAMA (Journal of the American Medical Association. JAMA. 2014;311(16):1622-1631. doi:10.1001/jama.2014.2850) el artículo ‘Efecto del uso de trombólisis en ambulancia en el ictus isquémico agudo’, por el que se informan los datos de dos años de uso de esta ambulancia para conocer la reducción de tiempo de inicio de la trombolisis intravenosa, y efectos secundarios de ACV hemorrágico secundaria tras de la trombolisis, y la mortalidad, en 7 días posteriores.
Referencias: