El latigazo cervical consiste en la lesión producida por una sucesiva flexión y extensión brusca y excesiva del cuello, normalmente asociado a un accidente de tráfico, aunque no necesariamente.
Se caracteriza por dolor la presencia de dolor cervical, sobre todo en la región posterior del cuello, aunque puede aparecer también dolor en la cabeza, hombro, brazo y columna torácica o lumbar. Son frecuentes, aunque no aparecen necesariamente, síntomas como la cefalea, pérdida de equilibrio, mareo, alteraciones visuales y disminución en la capacidad de concentración o pérdida de memoria. La exploración física muestra pérdida de movilidad en las primeras semanas y cambios en los patrones de reclutamiento muscular (secuencia de activación muscular al realizar un movimiento) y control motor, que pueden explicar la imagen envarada (cuello excesivamente recto) que aparece en las radiografías.
Hallazgos Radiográficos
La rectificación cervical es la disminución o desaparición de la lordosis (curva normal fisiológica) de las vértebras cervicales, asociada en muchas ocasiones a cervicalgia o dolor de cuello.
La inversión cervical es una rectificación cervical tan severa, que la curvatura fisiológica que presenta la columna cervical pasa de ser una concavidad posterior a una concavidad anterior. En los accidentes de tráfico importantes, con un latigazo cervical, es típica la inversión de la lordosis cervical.
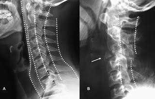
A) Radiografía lateral normal de columna cervical, con las 5 líneas que pueden trazarse sobre ella. B) Fractura en lágrima por mecanismo de flexión de C3. El fragmento en lágrima se aprecia anterior (flecha). Posteriormente se observa disrupción de la línea vertebral posterior y espinolaminar en un paciente tetrapléjico.Curva ‘rectificada’ por Latigazo cervical
Posibles lesiones de la columna vertebral en el síndrome del latigazo cervical (LC) en las exploraciones de imagen.
1: pequenos aplastamientos trabeculares de las apófisis articulares; 2: efusión hemática de las articulaciones interapofisarias; 3: desgarro y rotura de la cápsula y ligamentos de las articulaciones interapofisarias; 4: fracturas del ápex de la apófisis articular; 5: fracturas del cartílago y desgarros sinoviales; 6: fisuras del disco intervertebral; 7: fractura-acunamiento mínima del cuerpo vertebral; 8: desgarros del ligamento vertebral común anterior; 9: roturas trabeculares del cuerpo vertebral.
Tipos de Esguinces Cervicales
Existen distintas formas de clasificación, aunque la más aceptada por protocolos médicos internacionales es la siguiente:
Grado I: Dolor y contractura muscular leve, posible limitación de movilidad. Las radiografías se presentan normales.
Grado II: Dolor y contractura muscular moderada, limitación de la movilidad. En las radiografías generalmente se puede apreciar una rectificación de la curvatura normal de la columna cervical (lordosis).
Grado III: Dolor intenso, contractura muscular severa, discapacidad motriz, etc. En las radiografías generalmente se puede apreciar una inversión de la lordosis.
Grado IV: Fracturas y luxaciones con lesión neurológica (sucede en menos del 2% de los casos).
Movimiento del cuello durante la colisión posterior a baja velocidad: A) posición previa al impacto; B) cuello en forma de «S»; y C) hiperextensión forzada.
Síntomas Latigazo Cervical. Evidencias para la decisión Clínica y solicitud de Pruebas
A primeros de la década de años 2000 se han publicado varios trabajos sobre dos guías de decisión clínica desarrolladas para la indicación de radiología simple (Rx) en los SU ante un SLC o trauma cervical cerrado, con las que se evitarían entre un 12,6% y un 25% de exploraciones radiológicas innecesarias, se disminuirían de las derivaciones desde AP a los SU para practicar Rx, además de ofrecer una evidencia suficiente en caso de litigio por no realizarlas
.
En el estudio NEXUS (National Emergency X-Radiography Utilization Study), realizado con 34.000 pacientes con traumatismo cervical cerrado atendidos en 21 SU de los Estados Unidos de Norteamérica, se propusieron los siguientes cinco criterios clínicos para no realizar Rx de columna cervical:
– ausencia de dolor en la línea media posterior cervical.
– no evidencias de intoxicación.
– nivel normal de conciencia.
– no déficit focales neurológicos.
– ausencia de otros dolores o lesiones causantes de distracción.
Algoritmo CCSR para indicación de pruebas radiográficas en latigazo cervical
Posteriormente en el estudio de la Canadian Cervical Spine Rule (CCSR), que incluyó a casi 9.000 pacientes de 10 Servicios de Urgencias Hospitalarias (SU) de Canadá, obtuvo unos valores de sensibilidad del 100%-95% IC, 98-100%-, y una especificidad del 42% (95% IC, 40%-44%-)9
Los puntos a valorar para solicitar una Rx según el algoritmo de la CCSR, aplicados a pacientes conscientes y alerta, y en situación clínica estable, son los siguientes (imagen superior):
– Existencia de un factor de riesgo importantes, que ‘per se’ indique la radiografía: edad mayor de 65 años, mecanismo lesional peligroso (caída por escaleras, accidente de bicicleta, automóvil a velocidad superior a 100 km/h), parestesias en extremidades, etc.
– Ausencia de factores de riesgo menores, que permitan valorar el movimiento cervical: colisión por alcance leve, espera en el Servicio de Urgencias sentado, deambular en todo momento, inicio tardío del dolor cervical o ausencia de dolor en la línea media cervical posterior.
– Posibilidad de rotar el cuello 45 grados a ambos lados
SOBRE ESTE TEMA RELACIONADO CON EL SEGMENTO CERVICAL ES MUY IMPORTANTE,CLARO QUE NO ES TODO EXISTE MUCHO MAS SOBRE LA CERVICAL,NO DEJAN DE SER INTERESANTES ESTOS COMENTARIOS POR
.
1-RETROALIMENTAN EL CONOCIMIENTO YA ADQUIRIDO
2-SE MANTIENE Y CONSERVA UNA ACTUALIZACION CONSTANTE
3-SIRVEN COMO VIA DE COMUNICACION EN ESTE GREMIO TAN GIGANTE EN EL
QUE LAMENTABLEMENTE NUNCA NOS LLEGAMOS A CONOCER Y ASI AL MENOS
PODEMOS AFIRMAR QUE, PODEMOS HACER ALGUNA VEZ CONTACTO A PESAR DE LAS DISTANCIA Y RECONOCE QUE SOMOS UNA IMPORTANTE Y EXTENSA FAMILIA EN ESTE
MUNDO QUE LLAMAMOS HOY IMAGENOLOGIA
4-PUEDO DECIR MUCHAS COSAS MAS ,PERO CREO QUE SERIA DEMASIADO EXTENSO
Y ELRIESGO ENTONCES DE QUE NO SEA LEIDO AUMENTA
FELICITO A TODOS LOS QUE DE UNA U OTRA FORMA CONTRIBUYAN A APORTAR
UN GRANO DE ARENA ASI NOS VISIBILIZAMOS,SEAN RADIOLOGOS TECNICOS
LICENCIADOS,ME GUSTARIA EN ALGUN MOMENTO COMENTAR ALGO SOBRE TEMAS
RELACIONADOS CON RADIOBIOLOGIA,ALGO MUY IMPORTANTE YA QUE CASI
SIEMPRE TODO LO ABSORVE LSO TEMAS SOBRE PROTECCION RADIOLOGICA
Y NO SE DETERMINA O PRECISA DONDE COMIENZA Y TERMINA UNA Y OTRA
SOY DEL CRITERIO QUE LA PROTECCION RADIOLOGICA DEBE CONSIDERARSE
PARTE PRACTICA DE LA RADIOBIOLOGIA Y ESTA LA PARTE TEORICA DE LA
PROTECCION RADIOLOGICA,,,,CHAOOOOOO SALUDOS Y GRACIAS A TODOS
SOBRE ESTE TEMA RELACIONADO CON EL SEGMENTO CERVICAL ES MUY IMPORTANTE,CLARO QUE NO ES TODO EXISTE MUCHO MAS SOBRE LA CERVICAL,NO DEJAN DE SER INTERESANTES ESTOS COMENTARIOS POR
.
1-RETROALIMENTAN EL CONOCIMIENTO YA ADQUIRIDO
2-SE MANTIENE Y CONSERVA UNA ACTUALIZACION CONSTANTE
3-SIRVEN COMO VIA DE COMUNICACION EN ESTE GREMIO TAN GIGANTE EN EL
QUE LAMENTABLEMENTE NUNCA NOS LLEGAMOS A CONOCER Y ASI AL MENOS
PODEMOS AFIRMAR QUE, PODEMOS HACER ALGUNA VEZ CONTACTO A PESAR DE LAS DISTANCIA Y RECONOCE QUE SOMOS UNA IMPORTANTE Y EXTENSA FAMILIA EN ESTE
MUNDO QUE LLAMAMOS HOY IMAGENOLOGIA
4-PUEDO DECIR MUCHAS COSAS MAS ,PERO CREO QUE SERIA DEMASIADO EXTENSO
Y ELRIESGO ENTONCES DE QUE NO SEA LEIDO AUMENTA
FELICITO A TODOS LOS QUE DE UNA U OTRA FORMA CONTRIBUYAN A APORTAR
UN GRANO DE ARENA ASI NOS VISIBILIZAMOS,SEAN RADIOLOGOS TECNICOS
LICENCIADOS,ME GUSTARIA EN ALGUN MOMENTO COMENTAR ALGO SOBRE TEMAS
RELACIONADOS CON RADIOBIOLOGIA,ALGO MUY IMPORTANTE YA QUE CASI
SIEMPRE TODO LO ABSORVE LSO TEMAS SOBRE PROTECCION RADIOLOGICA
Y NO SE DETERMINA O PRECISA DONDE COMIENZA Y TERMINA UNA Y OTRA
SOY DEL CRITERIO QUE LA PROTECCION RADIOLOGICA DEBE CONSIDERARSE
PARTE PRACTICA DE LA RADIOBIOLOGIA Y ESTA LA PARTE TEORICA DE LA
PROTECCION RADIOLOGICA,,,,CHAOOOOOO SALUDOS Y GRACIAS A TODOS
JOSE ROMAN ALCAZ MILAN Correo alcazroman_22_4@hotmail.com
Me gustaMe gusta