20160915_171829

Si has consultado el post ¿Qué ropa y complementos son adecuados para el Paciente en sus pruebas de radiología? comprobarás que «…el paciente debe entender que todo elemento metálico no deja pasar la radiación. Existen también otros elementos que dejan pasar la radiación pero producen un efecto no deseable en la imagen, porque puede ‘simular’ una imagen patológica: cosas con hueso, plásticos muy gruesos, cosas con cuero o pelo muy atado, elementos de madera con cierto grosor…».

Pues bien, en mi trabajo he encontrado el ejemplo de que un colgante con madera puede generar distorsión en la imagen radiográfica (Rx).

La joven que llevaba el colgante de la foto superior (que le tomé con el pertinente premiso de privacidad y anonimización, al igual que sus dos proyecciones de radiografía de tórax que acompañan a este artículo) por debajo de su camiseta, ya se había quitado el sostén para evitar el artefacto metálico de los broches y aros. Pero cuando le dije «por favor, quítese los elementos metálicos o de consistencia dura» (repito esa frase muchas veces), la joven no asoció a su colgante de madera que eso podría producir artefactado en la imagen.

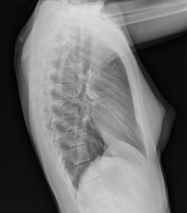
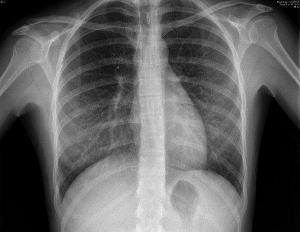
Cuando acabo de realizar la proyección PA (postero anterior) y la veo girarse es cuando veo aparecer el colgante frente a mí. Entonces encontré la ocasión de cerciorar qué efecto y qué apariciencia podría tener en la imagen. Al digitalizar la Rx PA no soy capaz de ver, a simple vista, el efecto. Pero al digitalizar la imagen de Rx lateral (más abajo) es cuando la veo sobre la piel de la paciente, a la altura del manubrio esternal. Me acerco a la paciente (que seguro leerá este artículo porque le comenté que lo publicaría) y le pido permiso para hacerle la fotografía, que pueda localizar la posición de la madera. Sio sitúa justo sobre la carina, al lado del botón aórtico.

Usando las herramientas en el visor digital (lupa, ventanas, etc..) no logro identificar al artilugio pero sin embargo sí se ve en la Rx lateral. Definitivamente, entiendo que, por la nitidez del resto de los cuerpos vertebrales, ‘está ahí, por debajo del manubrio esternal’, pero sólo logro ver la pequeña distorsión que produce al cambiar mínimamente los laterales del cuerpo de la 4º vértebra dorsal.

rx-tx-pa

rx-tx-lt

Os dejo con este vídeo que podéis compartir en vuestras redes sociales como forma de Educación para los Pacientes de Radiología